Стоматологія . Реставрації. Вініри. Циркон. Гнатологія. Імплантація. Лікування ясен. Збільшення обсягу кістки та ясен.






Про мене
Вітаю! Мене звуть Євген Едуардович Ходош. Я лікар у четвертому поколінні.
Інститут закінчив у 1994 році за спеціальністю лікар-стоматолог, інтернатуру – у 1995. У 1999 році отримав свою першу ліцензію на приватну медичну діяльність. Згодом індивідуальна практика переросла в багатопрофільну стоматологічну клініку, де працює команда професіоналів, здатна вирішувати стоматологічні завдання будь-якої складності.
Наші основні принципи
– Лікування пацієнта – не самоціль, а засіб вирішення конкретного клінічного завдання.
– Здоров’я – головна функція. Решта лише методи та точки зору.
– В основі професійної діяльності лежить саморозвиток.
– Якість попереду ціни.
Завжди Ваш Доктор Ходош
Наші роботи
Імплантація


Збільшення обсягу кістки.
Після видалення кісти (не в нашій клініці) відсутні жувальні зуби, наскрізний дефект щелепи, в цій зоні нижньощелепний нерв проходить поза кістковими структурами. Пластика кістки та м’яких тканин, імплантація.
Хірург Святослав Вантурінов.
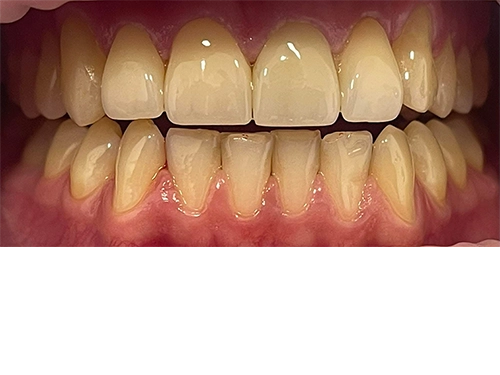
Цільноцирконієві коронки на гвинтовій фіксації.
Після видалення кісти (не в нашій клініці) відсутні жувальні зуби, наскрізний дефект щелепи, в цій зоні нижньощелепний нерв проходить поза кістковими структурами. Пластика кістки та м’яких тканин, імплантація.
Хірург Святослав Вантурінов.
Цільноцирконієві коронки на гвинтовій фіксації.

Василіса Фролова
телеведуча
Кожна поїздка до мого рідного Харкова для мене справжнє свято! Адже я можу зустрітися з дорогими друзями, Євгенія я точно до них зараховую вже, страшно сказати, 25 років! Весь той час, що я жила у Харкові, тільки йому довіряла свою ротову порожнину. Він спостерігав її в різних періодах та станах, ми змінювали становище нижньої щелепи, виправляли прикус, ставили перші вініри. Женя бачив всяке. Найцінніше в цих зустрічах, звичайно, не зуби, а розкіш спілкування з унікальною людиною, яка може і розсмішити до сліз, і заспокоїти до занурення в сон. А ось це, як на мене, маркери справжнього професіонала.

Фагот
музикант, соліст гурту ТНМК
Кажу коротко – Ходош це творча, доброчесна, надIйна та професIйна людина.

Вадим Бортник
бізнесмен, засновник мережі Freshline
Моя мама спеціально прилітає з Ізраїлю саме до Євгена Едуардовича. Характеризую його як вдумливого та фундаментального Лікаря, якому можна довіритися. Доктор Ходош особливо сильний у нестандартних клінічних випадках. Я обслуговуюсь і особисто знаю Євгена понад 20 років. Колосальний стоматологічний досвід та виважене використання найсучасніших технологій. Що важливо для мене особисто: Євген Едуардович працює швидко, а прийом пролітає як музична композиція.

Олексій Гулий
засновник мережі Техно Їжак
Завжди раніше відкладав походи до стоматолога, поки мені друг не сказав, що я не туди ходжу і порадив сходити до Ходоша. У двох інших клініках мені одразу нараховували на 10-15 тис євро брекетів та 3 роки метушні. Євген же все це вислухав, провів повне обстеження зубів та прикусу, сказав, що у мене стабільна адаптована ситуація і призначив стандартні пломби/відбілювання… мені здається я тепер став усміхатися частіше і перестав взагалі боятися стоматологів. Професійно, швидко, без проблем і найсучаснішими методами. Рекомендую, 5+ із п’яти!

Nonna Gerard
бізнесвумен
Красиві зуби та посмішка завжди в моді. Мій чоловік та я пацієнти доктора Ходоша. Бездоганна професійна робота, поради з вибору матеріалів (колір, якість, естетичний аспект), завжди доречний жарт, щоб пацієнту було комфортно. Я особливо оцінила прагнення лікаря надати максимально натуральний аспект посмішці. І ще один (з багатьох) важливий факт: суворе дотримання термінів виконання робіт, що ДУЖЕ ВАЖЛИВО, коли ви прилітаєте з-за кордону, як я (Франція). І навіть після лікування лікар не забуває вас і завжди готовий відповісти на можливі питання щодо догляду за зубами та протезами. Величезна подяка лікарю за мою посмішку!
Попередній запис за телефоном
Графік роботи
Понеділок – п’ятниця
09:00 – 19:00
09:00 – 19:00
Харків
пр. Аерокосмічний, 1
Київ
Лабораторний пров., 6










